
診療内容
一般眼科外来診療が主体となります。主なものとしては、近視・遠視・乱視・老視など屈折異常にたいする眼鏡よる視力矯正、眼瞼炎、結膜炎、角膜上皮炎などの外眼部疾患の治療、ドライアイや眼精疲労の治療、加齢とともに増えてくる白内障の検査、糖尿病や高血圧などの成人病の眼底検査、定期的な視野検査も含めた緑内障治療などがあります。目の異常症状に応じて診断に必要な検査をおこないます。結膜や角膜表面の異物除去、ものもらいや霰粒腫の切開、眼底出血や網膜裂孔などのレーザー治療は当院外来で可能です。白内障や緑内障が進行して手術が必要となった場合、網膜剥離や硝子体出血など網膜硝子体手術が必要な場合は手術設備のある病院で治療をうけていただくことになります。
診療の流れについて
眼科の検査
眼底三次元画像解析検査
平成27年1月より、OCT(光干渉断層計)を導入しております。
OCTは赤外光を利用して網膜の断面構造・視神経乳頭の凹みを精密に検査できる最新の検査機器です。従来の検査方法と比べて、緑内障や黄斑疾患など各種網膜疾患をより正確に診断できるようになり、早期発見、客観的な経過観察が行なえるようになりました。
よくある眼の症状・病気
アレルギー性結膜炎
結膜は直接空気と接触しており、外からの刺激や異物にさらされやすい部位です。アレルギー性結膜炎とは、結膜に花粉やほこりなどが付着した際におこる免疫反応の一つで、これらに過剰に反応した結果として様々な症状をおこします。眼やまぶたが痒くなります。こすったり、掻いたりすると次第に痛みや異物感が加わってきます。通常は両眼に症状がでます。さらに悪化すると球結膜(しろめ)が充血してまぶたが腫れ、糸を引くような白い眼脂がでてきます。治療としては、主として抗アレルギー剤の点眼薬を使用します。症状がひどい場合は、一時的にステロイド剤の点眼薬を使用することもありますが、眼圧上昇などの副作用がありますので、必ず眼科医の指導のもとに使用しなければなりません。アレルギー性結膜炎には季節性と通年性とがあります。季節性のものは、ほとんどが「花粉」が原因で生じます。花粉が飛散する特定の季節のみに起こり、その時期が過ぎれば自然と症状は軽快します。代表的なのものとしては春先に生じるスギ花粉症があります。他にはヒノキ(2~4月)、カモガヤ、ハルガヤ(5~6月)、ブタクサ(秋)などがあります。花粉が飛来している時期には外出を控える、外出する場合は花粉防止用マスク・ゴーグル型保護眼鏡などでなるべく花粉との接触を避けるように心掛けることも大切です。通年性のものは、年間を通じて起こる結膜炎で、室内の埃(ハウスダスト)、ダニ、カビ、ペットの毛などが原因で発症します。カーペット、寝具の清掃もふくめて、常に部屋を清潔にしておくことが大切です。
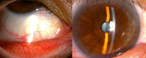
白内障
眼の中には水晶体があり、ピントを合わせるレンズの役割を果たしています。水晶体は本来透明ですが、それを構成しているたんぱく質が変性して濁ってくる病気が白内障です。白内障の多くは、年齢ともに発症率が高くなる加齢性白内障ですが、先天性のもの、外傷、薬剤(ステロイド剤など)、放射線や紫外線の大量暴露、他の眼の病気が原因となっておこる白内障もあります。水晶体が濁ってくると瞳孔から入った光が散乱し、眼の奥に光が入りにくくなります。かすんで見える、まぶしく感じる、明るいところでは見えにくい、ものがだぶる、眼鏡が合わないなどの症状が出てきます。
濁った水晶体が透明に戻ることはありません。ごく初期では点眼薬で進行を遅らせることも試みますが、ある程度進行した場合は濁った水晶体を取り除く手術が必要となります。一般的には濁った水晶体を超音波で砕いて除去して、眼内レンズを入れます。高度に進行した白内障ではその方法が難しく、ほかの手術方法が選択される場合もあります。白内障手術でどの程度まで視力が回復するかは、角膜や網膜・神経の状態によって変わってきます。個々の状況によって視力の回復具合が異なることがありますので、眼科医とよく相談して決めてください。



正常所見(結膜・角膜)

細隙燈顕微鏡
正常所見(角膜・水晶体)

正常所見(視神経乳頭・黄斑)

